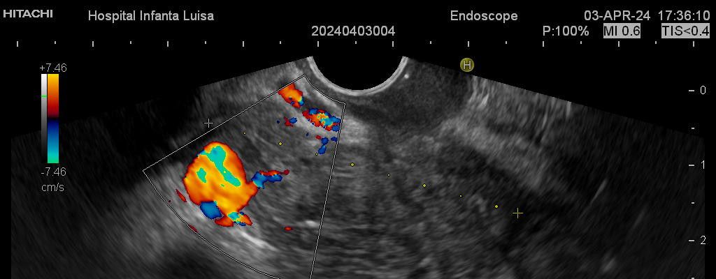
Ecoendoscopia
La Ecoendoscopia o Ultrasonografía endoscópica (USE) consiste en la exploración del tracto digestivo superior (principalmente), o de los últimos centímetros del tracto digestivo inferior (recto, generalmente), con un tipo de endoscopio especial que se llama ecoendoscopio.
La Ecoendoscopia, como su nombre indica, combina dos tipos de técnicas: la endoscopia y la ecografía, pues nos aporta simultá…